8 Mayıs 2026, 16:19:11
Dolar 45,3648
Euro 53,4078
Altın 6.886,48
BİST 15.050,08
Adana Adıyaman Afyon Ağrı Aksaray Amasya Ankara Antalya Ardahan Artvin Aydın Balıkesir Bartın Batman Bayburt Bilecik Bingöl Bitlis Bolu Burdur Bursa Çanakkale Çankırı Çorum Denizli Diyarbakır Düzce Edirne Elazığ Erzincan Erzurum Eskişehir Gaziantep Giresun Gümüşhane Hakkari Hatay Iğdır Isparta İstanbul İzmir K.Maraş Karabük Karaman Kars Kastamonu Kayseri Kırıkkale Kırklareli Kırşehir Kilis Kocaeli Konya Kütahya Malatya Manisa Mardin Mersin Muğla Muş Nevşehir Niğde Ordu Osmaniye Rize Sakarya Samsun Siirt Sinop Sivas Şanlıurfa Şırnak Tekirdağ Tokat Trabzon Tunceli Uşak Van Yalova Yozgat Zonguldak
Samsun 18°C
Az Bulutlu
Samsun
18°C
Az Bulutlu
Cum 19°C
Cts 21°C
Paz 21°C
Pts 20°C

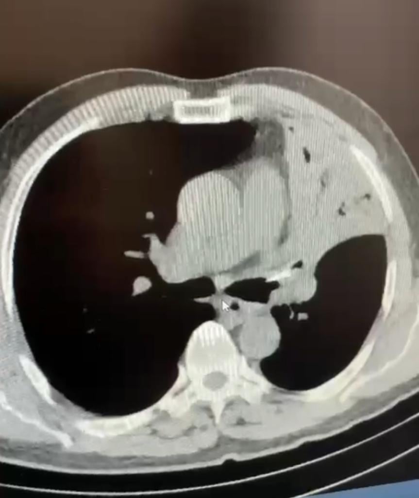
Bolu’da akciğerinde 5 yıldır lades kemiği bulunan kişi ameliyat edildi

BOLU (AA) – Bolu'da, bir kişinin akciğerinde 5 yıldır bulunan yediği tavuğun lades kemiği ameliyatla çıkarıldı. İl Sağlık Müdürü Muhammed …

Bolu’da akciğerinde 5 yıldır lades kemiği bulunan kişi ameliyat edildi
23 Nisan 2022 18:00
354
A+
A-

BOLU (AA) – Bolu'da, bir kişinin akciğerinde 5 yıldır bulunan yediği tavuğun lades kemiği ameliyatla çıkarıldı.

İl Sağlık Müdürü Muhammed Emin Demirkol, sosyal medya hesabından yaptığı açıklamada, Abant İzzet Baysal Üniversitesi (AİBÜ) İzzet Baysal Eğitim ve Araştırma Hastanesi Göğüs Cerrahisi ekibinin başarılı ameliyatıyla 5 yıl boyunca sol akciğerinde lades kemiğiyle yaşamını sürdüren hastanın şifa bulduğunu belirtti.

Demirkol, 5 yıl boyunca öksürük, şiddetli ağrı, sırtında yanma şikayetleri bulunan hastaya Göğüs Cerrahisi Anabilim Dalı Başkanı Öğretim Üyesi Prof. Dr. Hacıali Kılıçgün koordinesinde Dr. Öğretim Üyesi Osman Yakşi ve Araştırma Görevlisi Dr. Muhammed Yavuz Haktanır tarafından endoskopik müdahale yapıldığını kaydetti.

İl Sağlık Müdürü Demirkol, ekibin başarılı müdahalesiyle akciğerinden tavuk kemiği çıkarılan hastanın sağlığına kavuştuğunu ifade etti.

Muhabir: Evren Aydoğan

YORUMLAR

Henüz yorum yapılmamış. İlk yorumu yukarıdaki form aracılığıyla siz yapabilirsiniz.